Lepota nasmeha: več kot popolna razporeditev zob
Visoka estetika nasmeha vključuje skladnost položaja, oblike in barve zob.
Ljudje so od nekdaj kazali zanimanje za izboljšanje videza svojih zob, a s pojavom digitalnega marketinga in družbenih omrežij se je ta interes še povečal.
Danes je vse večja težnja po odpravljanju celo manjših nepravilnosti, da bi dosegli skladen in negovan nasmeh. Pogosto lahko že minimalen stomatološki poseg prinese vidno izboljšanje — in pacientu vrne samozavesten nasmeh.
Minimalno invazivna estetika
V sodobni stomatologiji se vedno bolj usmerjamo k minimalno invazivnim rešitvam, ki ohranjajo naravno strukturo zob.
Manjše spremembe barve, oblike ali položaja zob, zapiranje razmikov ali obnova obrabljenih površin danes niso več nujno povezane z brušenjem zob in namestitvijo keramičnih kron ali lusk.
Razvoj sodobnih materialov in novih tehnik omogoča dosego vrhunskih estetskih rezultatov s pomočjo kompozitnih materialov – brez izgube zdravega zobnega tkiva.
Kaj je injekcijska tehnika?
Ena izmed najnovejših inovativnih metod, ki omogoča vrhunsko estetiko brez brušenja zob, je injekcijska tehnika izdelave kompozitnih lusk.
Gre za postopek, pri katerem se s pomočjo silikonskega ključa in vnaprej definiranega smile dizajna kompozitni material “vbrizga” neposredno na zob. Na ta način se doseže natančna in estetsko dovršena rekonstrukcija zob.
Ta tehnika vključuje tesno sodelovanje z zobnim tehnikom – nasmeh se natančno načrtuje v laboratoriju, medtem ko se luske izdelajo v ordinaciji, brez potrebe po brušenju zob.
Potek posega
- Prvi korak k novemu nasmehu je vedno posvet s zobozdravnikom – pogovor o željah, pričakovanjih in možnostih.
- Po določitvi načrta zdravljenja sledi diagnostika: fotografiranje, jemanje odtisov (digitalnih ali analognih), pri obsežnejših rehabilitacijah pa tudi dodatna funkcijska analiza.
- Preizkus oblikovanja zob v ustih, kjer lahko pacient poda želje za korekcije.
- Ko je dosežen dogovor o obliki in funkciji bodočih zob, se izdela silikonski ključ, ki služi kot šablona za vbrizganje kompozitnega materiala.
- Priprava zob pred samim postopkom – izolacija sosednjih zob ter priprava površine za boljše vezanje kompozita.
- Zaključna obdelava in poliranje do visokega sijaja.
Injekcijska tehnika je idealna za:
- preoblikovanje zob (npr. pri retruziji ali rotaciji),
- zapiranje diastem (razmikov med zobmi),
- korekcijo manjših nepravilnosti položaja,
- prekrivanje starih plomb (III., IV. in V. razred),
- poškodovane ali odkrušene incizalne robove,
- rekonstruiranje labialne ploskve.
Zakaj izbrati kompozitne luske?
Kompozitni materiali so se čez leta izkazali kot odličen izbor za nadomeščanje trdih zobnih tkiv, izgubljenih zaradi kariesa, travme ali obrabe.
Hkrati predstavljajo estetsko rešitev za zobe nezadovoljive barve, oblike ali velikosti – in to brez obsežnih preparacij.
Barva zob ni enotna, temveč rezultat odboja svetlobe od sklenine in njenega prodiranja v dentin. Nanjo vplivajo številni dejavniki: spol, starost, življenjske navade, pretekle bolezni, zdravila, travme ali nepravilni endodontski posegi.
Sčasoma zobje naravno potemnijo, dobijo rumenkast ali rdečkast odtenek, poškodbe sklenine pa dodatno omogočajo prodiranje pigmentov v globlje plasti zoba.
Glede na situacijo se uporablja več vrst in odtenkov kompozita, da se dosežeta naraven videz in vitalnost zob.
Estetika v detajlih: oblika in velikost zob
V času, ko estetika pogosto pomeni kompromis z zdravjem, injekcijska tehnika dokazuje nasprotno.
Omogoča izboljšanje videza zob ob hkratnem ohranjanju njihove vitalnosti in integritete — kar je posebej pomembno pri mladih pacientih in vseh, ki želijo dolgoročno zdravje zob.
Poleg barve sta za lep nasmeh ključna tudi oblika in velikost zob.
S kompozitnimi luskami je mogoče popraviti manjše nepravilnosti oblike ter dolžine zob – posamezno ali v celotnem zobnem loku – odvisno od potreb in estetskih ciljev pacienta.
Pri izrazitejših nepravilnostih, kot so mikrodoncija, makrodoncija ali koničasti zobje (t. i. peg-shaped teeth), lahko kompozitne luske popolnoma transformirajo nasmeh, pri tem pa ohranijo zdravo zobno strukturo.
Subtilna, a močna sprememba
Injekcijska tehnika kompozitnih lusk omogoča vrhunske estetske rezultate brez brušenja zob – hitro, natančno in neboleče.
To je metoda, ki združuje funkcionalnost, estetiko in minimalno invazivnost, zaradi česar je idealna rešitev za vse, ki želijo subtilno, a učinkovito spremembo nasmeha.
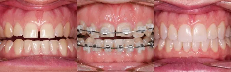
Kompozitne luske kot zaključni korak ortodontske terapije
Včasih ortodont doseže popoln položaj zob, a rezultat še vedno ni popoln zaradi neskladja v obliki ali velikosti zob.
Pogosto po ortodontskem zdravljenju ostanejo manjši razmiki (diasteme) med zobmi. Da bi se ohranil pravilen položaj zob, je priporočljivo te razmike zapolniti z estetskim materialom.
Luske, izdelane po injekcijski tehniki, zagotavljajo vrhunsko estetiko brez kakršnegakoli odstranjevanja zobne strukture – in predstavljajo končni, subtilni potez, ki nasmeh naredi popoln.




