Trajna in naravna rešitev za manjkajoče zobe

Izguba zoba lahko vpliva na videz, samozavest in zdravje celotne ustne votline. Zobni vsadki danes predstavljajo najsodobnejšo in najzanesljivejšo rešitev za nadomeščanje enega ali več izgubljenih zob. Videti so in delujejo kot naravni zobje ter preprečujejo nadaljnje propadanje kosti.

V Polikliniki Dr. Zubović uporabljamo preverjena implantološka sistema Straumann in Osstem – vodilna svetovna proizvajalca z dolgoletno tradicijo in vrhunskimi rezultati.

 

Kaj je zobni vsadek?

Zobni vsadek je umetna korenina zoba, izdelana iz titana – biokompatibilnega materiala, ki naravno zrašča s kostjo, zato ga telo ne prepozna kot tujek.

Na vsadek se namesti nadgradnja (abutment), nanjo pa krona ali mostiček. Tako vsadek prevzame funkcijo naravnega zoba – tako estetsko kot funkcionalno.

 

Diagnostika pred vstavitvijo vsadkov

Pred posegom se opravi temeljita diagnostika:

  • Stomatološki pregled – oceni se stanje zob, ugriz in zdravje dlesni.
  • CBCT posnetek (3D prikaz čeljusti) – ključen za analizo kakovosti in gostote kosti.
  • Ocena ustnega zdravja – vsi zobje morajo biti sanirani, brez vnetij ali aktivnega parodontitisa.
  • Splošno zdravstveno stanje – kronične bolezni, kot sta sladkorna bolezen ali osteoporoza, morajo biti pod nadzorom.

Le z ustrezno pripravo in pravilno diagnostiko lahko vsadki dolgoročno trajajo in ostanejo popolnoma funkcionalni.

 

Kako poteka vstavitev zobnega vsadka?

slika procesa ugradnje dentalnog implantata

Postopek je rutinski, izvaja se v lokalni anesteziji in traja približno 30 minut.

  1. Sluznica nad kostjo se rahlo odpre.
  2. V kosti se pripravi ležišče za vsadek.
  3. Vsadek se vstavi na pripravljeno mesto.
  4. Sluznica se zašije.
  5. Sledi proces oseointegracije – zraščanje vsadka s kostjo, ki traja približno 3 do 6 mesecev. Po tem obdobju se na vsadek namesti krona ali mostiček.

 

Augmentacija kosti – kdaj je potrebna?

Pri nekaterih pacientih ni dovolj kosti za vstavitev vsadka. Takrat se izvede augmentacija kosti – nadgradnja naravne ali umetne kosti.

Najpogosteje je potrebna v območju zgornjih zadnjih zob zaradi bližine maksilarnega sinusa.
Če kosti primanjkuje drugje, se uporabi umetna kost in membrana.
Postopek je rutinski, neboleč in bistveno poveča uspešnost vstavitve vsadkov.

 

Prednosti zobnih vsadkov

Zobni vsadki so danes zlati standard v stomatologiji, saj ponujajo številne prednosti:

  • Brez brušenja sosednjih zob – zdravi zobje ostanejo nedotaknjeni.
  • Naraven videz in funkcija – videti so kot lastni zobje.
  • Preprečujejo izgubo kosti – ohranjajo obliko čeljusti.
  • Stabilnost in udobje – rešujejo težave klasičnih protez, ki so lahko neudobne in nestabilne.
  • Dolgotrajna rešitev – ob pravilni negi lahko trajajo vse življenje.

RTG intraoralna slika dentalnog implantata

Protetična oskrba po vstavitvi vsadkov

Ko se vsadek popolnoma zraste s kostjo, sledi protetična faza.

  • Če manjka en zob, se izdela krona na vsadku.
  • Če manjka več zob, se izdela mostiček na vsadkih.
  • Če manjkajo vsi zobje, se izdela mostiček ali proteza z lokatorji.

Spoj med vsadkom in krono se imenuje nadgradnja (abutment). Kronice in mostičke najpogosteje izdelujemo iz cirkon-oksidne keramike – izjemno trpežnega, biokompatibilnega in estetsko naravnega materiala. Posebno pozornost namenjamo delu krone med zobom in dlesnijo, saj ta del močno vpliva na dolgotrajnost vsadka.

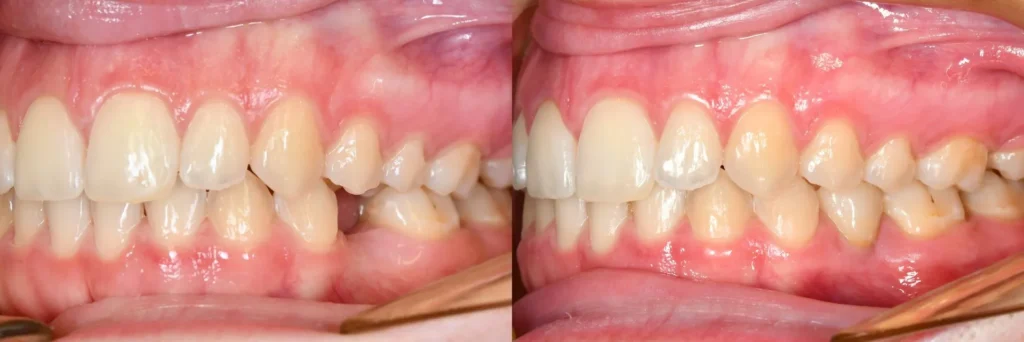
dentalni implantat prikaz slučaja

Kdo je primeren kandidat za zobne vsadke?

Večina pacientov so primerni kandidati,  vendar so potrebni nekateri pogoji:

  • dobro oralno zdravje (brez parodontitisa ali aktivnih okužb),
  • zadostna količina in kakovost kosti (ali možnost augmentacije),
  • urejene kronične bolezni (sladkorna bolezen, osteoporoza),
  • odsotnost škodljivih navad, kot je močno kajenje.

Če niste prepričani, ali ste primerni kandidat, je najbolje opraviti pregled – po diagnostiki vam bo zobozdravnik natančno povedal, ali je poseg primeren za vas.

 

Nega in vzdrževanje zobnih vsadkov

Čeprav vsadki niso dovzetni za karies, je oralna higiena ključnega pomena. Potrebno je:

  • vsakodnevno ščetkanje in uporaba zobne nitke ali medzobnih ščetk,
  • redni profesionalni pregledi in čiščenja,
  • izogibanje kajenju in slabim navadam (npr. grizenje ledu ali nohtov).

Ob pravilni negi lahko zobni vsadki trajajo desetletja – celo vse življenje.

 

Pogosta vprašanja (FAQ)

Ali je vstavitev zobnega vsadka boleča?
Ne – poseg se izvaja v lokalni anesteziji in je popolnoma neboleč.

Kako dolgo traja celoten proces?
Od vstavitve vsadka do namestitve krone traja približno 3 do 6 mesecev, odvisno od procesa zraščanja s kostjo.

Koliko stanejo vsadki?
Cena je odvisna od vrste vsadka, dodatnih postopkov (augmentacija kosti) in protetične oskrbe. Natančen načrt in strošek se določita po pregledu in diagnostiki.

Kako dolgo vsadki zdržijo?
Ob dobri higieni in rednih kontrolah lahko trajajo vse življenje.

 

Zakaj izbrati Polikliniko Dr. Zubović?

Naša ekipa specialistov ima dolgoletne izkušnje na področju implantologije in uporablja preverjena sistema Straumann in Osstem. Z individualnim pristopom, vrhunsko diagnostiko in sodobnimi kirurškimi tehnikami zagotavljamo, da je vsak vsadek stabilen, funkcionalen in estetsko popoln.

Vaš nasmeh si zasluži najboljše – zobni vsadki so najvarnejša pot do njega.