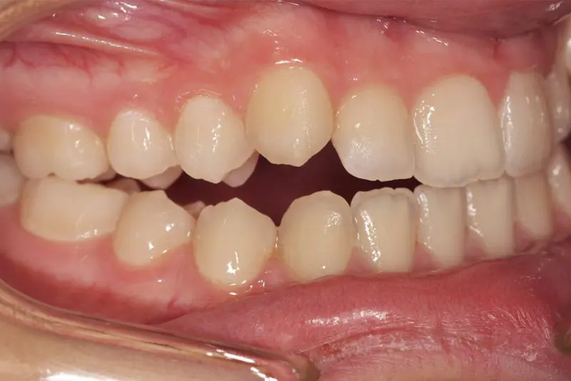
Hipodoncija – ortodontska terapija uz mini implantate i preoblikovanje zuba injektibilnim kompozitom