Stara plomba ili karijes?
Kada je vrijeme za zamjenu ispuna? Ponekad primijetite da zub izgleda drugačije. Možda je potamnio, možda osjećate laganu nelagodu ili primjećujete zadržavanje hrane. A ponekad jednostavno znate da imate staru …
Saznaj višeKada je vrijeme za zamjenu ispuna? Ponekad primijetite da zub izgleda drugačije. Možda je potamnio, možda osjećate laganu nelagodu ili primjećujete zadržavanje hrane. A ponekad jednostavno znate da imate staru …
Saznaj višeTerapija stabilizacijskom udlagom jedna je od najčešćih i najprihvaćenijih metoda liječenja bolova i disfunkcija povezanih s temporomandibularnim, odnosno čeljusnim zglobom (TMZ). Ova metoda pomaže u smanjenju boli i poboljšanju funkcije …
Saznaj višeLjepota osmijeha: više od savršenog rasporeda zubi Visoka estetika osmijeha podrazumijeva sklad položaja, oblika i boje zubi. Ljudi su oduvijek pokazivali interes za poboljšanje izgleda svojih zubi, a taj je …
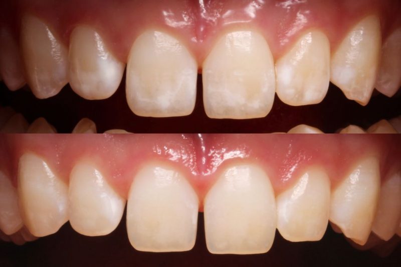
Saznaj višeBijele mrlje – česti estetski problem Uzrok nezadovoljstva vlastitim osmijehom kod mnogih pacijenata mogu biti bijele mrlje na zubima, koje su u populaciji relativno česte. Mogu biti prirođene ili stečene …
Saznaj višeOralna higijena ima ključnu ulogu u zdravlju zuba, a posebice tijekom ortodontske terapije. U Poliklinici Dr. Zubović svakog pacijenta educiramo o važnosti pravilnog pranja zuba, budući da je učinkovita higijena …
Saznaj višeZubni rendgen je dijagnostički postupak koji nam daje priliku da vidimo koštane strukture i zube. Vrlo je vrijedna dijagnostička metoda u svim granama dentalne medicine, smanjuje mogućnost pogreške i daje …
Saznaj višeProces ortodoncije nije samo estetski; to je stručni postupak usmjeren na poboljšanje oralnog zdravlja i funkcionalnosti osmijeha. U ovom blogu ćemo vas provesti kroz ključne faze ortodontske terapije, od inicijalne …
Saznaj višePrvi ortodontski pregled ključan je korak na putu do zdravog osmijeha i pravilnog zagriza. Osim što pomaže u otkrivanju eventualnih problema s položajem zuba i čeljusti, ovaj pregled pruža priliku …
Saznaj višeŠto je parodontologija? Parodontologija je grana dentalne medicine koja se bavi liječenjem parodontnih bolesti a najčešći oblici su gingivitis i parodontitis. Parodont se sastoji od gingive (zubnog mesa), kosti, cementa …
Saznaj višeU posljednje vrijeme, estetika osmijeha i nevidljiva ortodoncija postali su ključni prioriteti za mnoge osobe. Terapija prozirnim aparatićem, poznata i kao aligneri, predstavlja modernu, udobnu i diskretnu alternativu tradicionalnim ortodontskim …
Saznaj višePoremećaji čeljusnog zgloba, poznati i kao temporomandibularne disfunkcije (TMD), sve su češća zdravstvena tegoba koja može značajno utjecati na kvalitetu života. Ovi poremećaji mogu izazvati bol u čeljusti, licu i …
Saznaj višeMliječni zubi kod djece predstavljaju važnu fazu u razvojnom procesu. Oni su prvi zubi koji su neophodno potrebni u razvoju dentalnih lukova i za ravnotežu. Vrlo često se misli da …
Saznaj višeKad se beba rodi, nosi u sebi zametke svih mliječnih i trajnih zuba, osim osmica. Ti zameci počinju se stvarati već u ranim fazama trudnoće. No, što se događa kada …
Saznaj višeAfte su bolne rane unutar usne šupljine koje se često ponovno pojavljuju, uzrokujući nelagodu i smetnje u svakodnevnom životu. Najčešće se javljaju na pomičnim dijelovima usne šupljine poput jezika, sluznice …
Saznaj višeDisanje na nos ključna je fiziološka funkcija koja osigurava pravilnu oksigenaciju organizma, filtriranje i ovlaživanje udahnutog zraka te podržava pravilan razvoj orofacijalne regije. Međutim, kada disanje na nos postane otežano …
Saznaj višeRani dječji karijes, poznat i kao “karijes bočice”, označava pojavu karijesa kod djece u dobi od otprilike 6 mjeseci do 3 godine. Ovaj oblik karijesa može se razviti vrlo brzo, …
Saznaj višeDanašnja stomatologija prolazi kroz brze promjene, vođene napretkom tehnologije i medicinskih znanosti. Usporedimo li stomatologiju od prije 10 godina s današnjom, jasno je koliko su digitalizacija i specijalizacija transformirale ovu …
Saznaj višeOrtodontska terapija igra ključnu ulogu u rješavanju brojnih problema sa zagrizom koji se mogu prepoznati već oko sedme godine života. Među najčešćim izazovima nalaze se obrnuti prijeklop, križni zagriz, duboki …
Saznaj višeSlina je više od tekućine koja održava naša usta vlažnima. Ova složena smjesa proteina, minerala, enzima i antitijela ima ključnu ulogu u zaštiti zdravlja usne šupljine, ali i cijelog organizma. …
Saznaj višeU stomatološkoj ordinaciji često susrećemo pacijente koji primijete tamne promjene na površini svojih zubi i odmah ih povezuju s karijesom. Iako se u velikom broju slučajeva radi o karijesnim oštećenjima …
Saznaj više